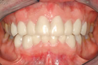
Tetracycline Stained - Discolored Teeth

The Dentist Is In

Are you a candidate for veneers? Yes. LUMINEERS BY CERINATE are the biggest breakthrough ever in achieving the smile that you've always wished for. These contact lens-thin "smile shapers" are so thin, yet so strong, that there is no need for the removal of any sensitive tooth structure, no shots, no drilling, and therefore, NO PAIN. No matter what your problem is, LUMINEERS are the perfect solution to your smile issues!

Tetracycline Stains

Staining and discoloration are problems for many. Whether the damage has been caused by time, stain-producing substances such as coffee and red wine, or by the administration of tetracycline, the polychromatic and natural looking character of LUMINEERS corrects discoloration without appearing artificial and provides a permanent whitening solution for those who hide their smile.

"I was embarrassed to smile. Now I smile all the time."