Posterior Fillings

Posterior composite fillings( white fillings on back teeth) The same type of filling material used to do bondings and fillings on front teeth can be used to fill back teeth. Traditionally, Amalgam fillings were considered the only choice for fillings on back teeth. These fillings are the greyish fillings you see in other people’s mouths, or may have in your own. They are made primarily of mercury and silver. Now, many dentists like myself use tooth colored or composite fillings, and are having great success with them. Over the years there has been much controversy over amalgam verses composite fillings, but I have made the choice for a variety of reasons to not use amalgam in my practice. Here are some examples of fillings I have done with composite. Crowns and composite fillings were used as the restorative options in two of these cases. I will explain which ones are crowns and which ones are fillings under the individual cases.

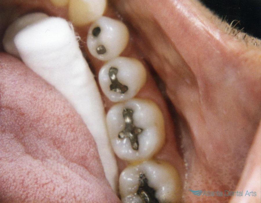
Case1

This patient had four amalgam fillings that needed to be replaced because they were breaking down at the margins or where the teeth and the fillings meet. The old amalgam was removed under a rubber dam to keep the teeth dry and isolated and keep the patient from swallowing any of the old filling material.

The teeth were then filled with composite filling material that matched the patient’s own tooth color. No one except the patient and us will ever know there was once a cavity in these teeth.

Case2

In case two, the patient’s treatment required not only a composite filling, but a crown as well. Fillings are a great choice for small to medium sized restorations. However, crowns are recommended as the restoration with the best long term prognosis for teeth that have lost a large portion of their structure.

This photo taken before treatment, the tooth on the bottom of the screen was the tooth that was filled with a composite filling. For the tooth just above that, a crown was chosen in order to give the patient the best long term solution.

Posterior Fillings

This picture shows the same teeth after treatment. Again, the tooth at the bottom has been treated with a composite filling, and the tooth above that has a crown. In my experience, these restorations are not only far more attractive, but equally long lasting.

Posterior Fillings

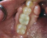
Case3

In case three, this patient’s treatment also combined a composite filling and a crown. The crown is now the bottom tooth and the filling is the tooth above the bottom tooth. In this case, the new crown replaced an old crown on a tooth that required a root canal and had lost most of it’s porcelain.

This photo taken before treatment, the tooth on the bottom of the screen was the tooth that was crowned. The photo shows how most of the porcelain is now missing for the biting surface of the tooth. The tooth just above that was filled with a composite filling.

This picture shows the same teeth after treatment. Again, the tooth at the bottom has been treated with a crown, and the tooth above that has a composite filling. Yes, wonderful esthetics and predictable, long-term functionality can exist together!